TEACHING, LEARNING AND EVALUATION
Teaching methods and aids used
E-Contents Uploaded in Knimbus Digital Library by Faculty Members
https://durgapurgovtcollege.knimbus.com/user#/home


Some innovative teaching and learning strategies of the department during pandemic situation to ensure experiential learning:
Hypothetical community chart analysis: The ‘Ecology’ Paper for Semester I includes extensive field work in its practical curriculum which was not feasible due to pandemic. Analysis of an ecological community is one part of it. We completed the practical by making hypothetical community chart on a graph paper using alphabets arranged in a random manner which mimicked species randomly distributed in a community. Students learnt to analyse the species diversity and species richness from the hypothetical community chart and would be able to use this knowledge to study a real-world ecological community.

Field work from home: butterfly life cycle and ethogram: Due to lockdown and limited to home assignments, we designed an experimental work for the students which was feasible to be executed at home. They studied the interactions between plants and herbivores, which is part of Semester I practical curriculum by studying the life cycle of butterflies in their garden. They learnt the role of host plants and nectar plants in the life cycle, reared the butterflies on their own in an artificial set up and gained an experience on the behavioural patterns of common butterfly species.

Construction of an ethogram is part of Semester V Discipline specific elective named Animal Behavior and Chronobiology. Students conducted this practical by observing animals like dog, birds like pigeon, sun bird, which are visible from their homes.

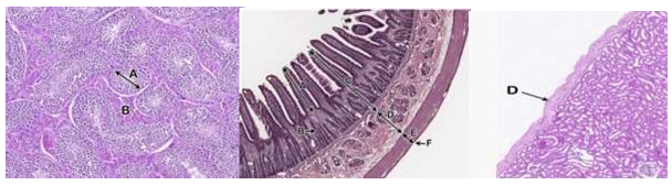
Photomicrograph study and identification: Identification and characterization of histological sections under the microscope is part of Semester III curriculum. This was completed by sharing photomicrographs from internet sources and explaining the characters of histological sections through google meet platform.

Department’s Initiatives for Assessing and addressing Learning Levels of Students
Modes of Internal Assessment